Dentes de giz – como prevenir dentes bonitos
Como evitar esta epidemia crescente?

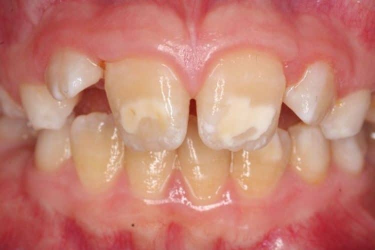
“Dentes de giz” (hipomineralização molar-incisivo – MIH), dentes de leite, mais frequentemente já dentes permanentes, são dentes malformados por um distúrbio na formação do esmalte dentário, do hidroxiapatita.
Malformados por má agregação do mineral Cálcio ou por falta de Cálcio.
Cálcio é um mineral essencial não somente para formar um esqueleto forte e dentes fortes. É um mineral essencial para a vida e para o bom funcionamento de cada célula no corpo de humanos e outros mamíferos.
Em caso de “dentes de giz” trata-se de uma doença dentária tratável, mas não mais curável.
O problema pode começar já na barriga da mãe e será visível somente anos mais tarde.
Dentes de giz são fracos, manchados, muitas vezes sensíveis, quebradiços e facilmente infectáveis por bactérias.
Isto provoca cárie e possível destruição completa do dente.
Dentes de giz existiam sempre, pois 1% de cada população mundial sofre da doença celíaca, com distúrbios severos de absorção enteral, provocada pelo Glúten em cereais. Quem tem esta doença, não reabsorve bastante Cálcio e nem outras substâncias. Isto pode prejudicar a formação de ossos e esmalte dentário fortes.
Também são acusados fatores genéticos, doenças da mãe durante a gravidez, complicações do parto, uso frequente de antibióticos e doenças mais severas nos primeiros quatro anos da criança.

Não só na Alemanha aumentou a incidência de dentes tipo giz para 15,3%.
Em cada quinta a sétima criança do mundo aparecem dentes de giz.
A incidência da doença celíaca continua em 1%, as outras causas mencionadas também.
Aí deve ter outras razões. Especialistas já falam de uma nova doença endêmica.
Em contato com meus colegas alemães, clínicos médicos, pediatras e dentistas, formou-se como resultado de uma disputa por internet a seguinte teoria:
Três fatores parecem ser a causa do aumento:
1. Demais açúcar, 2. demais refrigerantes e 3. falta de higiene bucal relativa ou absoluta que facilita a transformação de açúcar em ácidos na boca por bactérias orais.
Razões: O que aumentou desde os meados dos anos 80 é a média da renda per capita e os costumes de consumo.
- Uma grande parte da população, em todas as classes, diminuiu o consumo de água como bebida única e se acostumou a tomar refrigerantes. Também aumentou o consumo de açúcar.
- Crianças tomam bebidas açucaradas como chá e refrigerantes. Escova e pasta de dentes ainda não estão muito apreciadas.
- Refrigerantes contêm entre muitas outra substancias artificiais acidulantes (ácidos) que desempenham um papel importante na regulação da acidez (pH), no realçar do sabor e na regulamentação da doçura.
Ácidos são muito famosos em razão da sua capacidade corrosiva
Não é aconselhável esfregar os dentes com escova logo após uma refeição ou após tomar um café ou limonada: os dentes precisam meia hora para serem remineralizados pela saliva e assim novamente protegidos.
Dependendo do sabor tem cada tipo de refrigerante seu acidulante específico. Um deles é o Ácido fosfórico (INS338).
Como substância inorgânica, o Ácido fosfórico é amplamente utilizado para a produção de “alimentos”. Disfarçado como aditivo INS338, preserva muitos alimentos industrializados contra o mofo. Em Coca-Cola e outras bebidas seu efeito aromático e regulador de doçura é amplamente usado.
Cálcio (ionizado) entra com a alimentação no intestino. Somente nesta forma ionizada o Cálcio pode ser reabsorvido pelo corpo. Entra Cálcio ionizado em contato com Ácido fosfórico, de um refrigerante ou alimento, forma-se Carbonato de Cálcio, giz, simples CaCo3 que o metabolismo não consegue mais reabsorver e processar. Então o intestino livra-se dele simplesmente pela via natural.
Resultado: Os ácidos ingeridos diminuem a reabsorção de Cálcio no intestino.
Os ácidos em contato direto com os dentes são altamente corrosivos, seja por refrigerantes ou por consumo de açúcar associado a má higienização oral.
Resultam dentes e ossos fracos, formam-se dentes de giz. Resulta cárie e perda precoce de dentes de leite e perda de dentes permanentes.
Abordagens básicas de tratamento consistem em
1. prevenção por parte dos pais das crianças,
2. controle de sintomas, selamento, restauração e extração de dentes estragados por parte do dentista.
Prevenção é o segredo, uma cura verdadeira é impossível.
Vale a pena mencionar que dentes de leite saudáveis são essenciais para a formação de uma dentadura saudável de adulto.

O que achou dessa informação: